

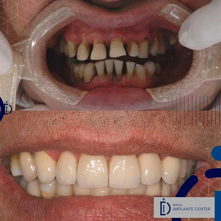
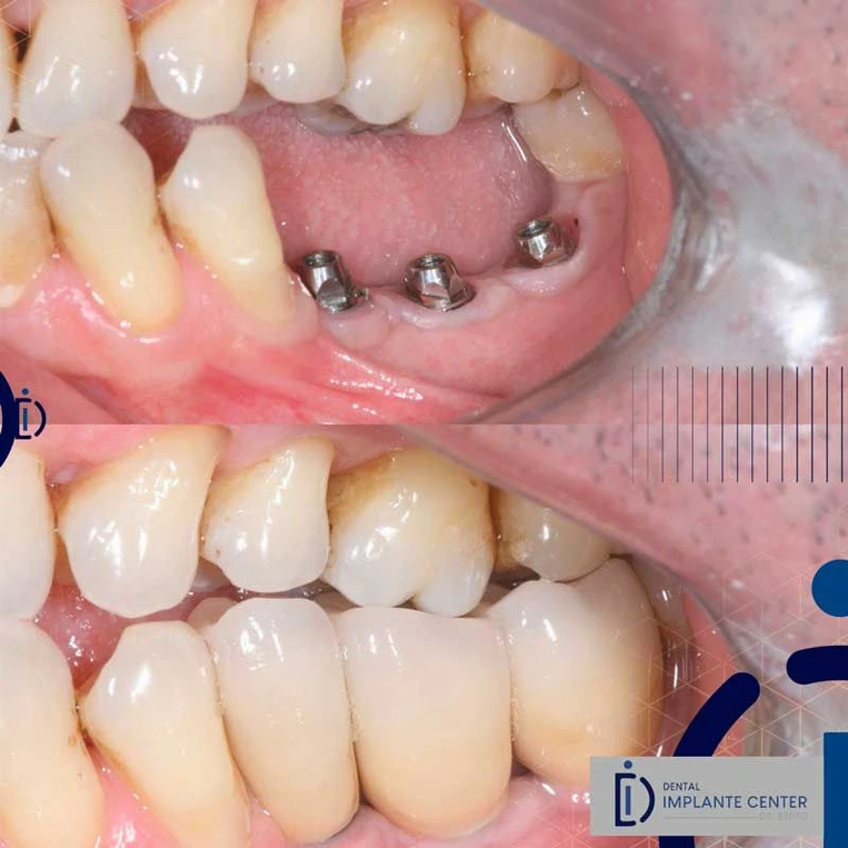
São uma solução moderna e eficaz para substituir dentes ausentes. Eles consistem em parafusos de titânio que são inseridos no osso maxilar ou mandibular, atuando como raízes artificiais. Uma coroa, ponte ou prótese protocolo é fixada sobre esses implantes, proporcionando uma aparência natural e funcionalidade semelhante aos dentes naturais.Além disso, eles ajudam a preservar o osso maxilar, evitando a perda óssea que pode ocorrer após a perda de dentes. O procedimento geralmente envolve algumas etapas, incluindo avaliação, cirurgia de inserção do implante, período de cicatrização e, por fim, a colocação da prótese definitiva. Mediante avaliação clinica e exames, em muitos casos é possível essa técnica em 7 dias. É importante consultar com dentista especializado para avaliar o procedimento, pois fatores como saúde geral, quantidade de osso disponível e higiene bucal influenciam no sucesso do implante. Se desejar, posso te ajudar com mais informações ou orientações sobre sua consulta inicial.

Um implante de carga imediata unitária é um procedimento em que um implante dentário é colocado na boca e, ao mesmo tempo, recebe uma prótese provisória, permitindo que o paciente tenha dentes funcionais logo após a cirurgia. Essa técnica é bastante utilizada para preservar a estética e a funcionalidade, além de reduzir o tempo total do tratamento. Após o tempo biológico se coloca a coroa definitiva sobre implante.

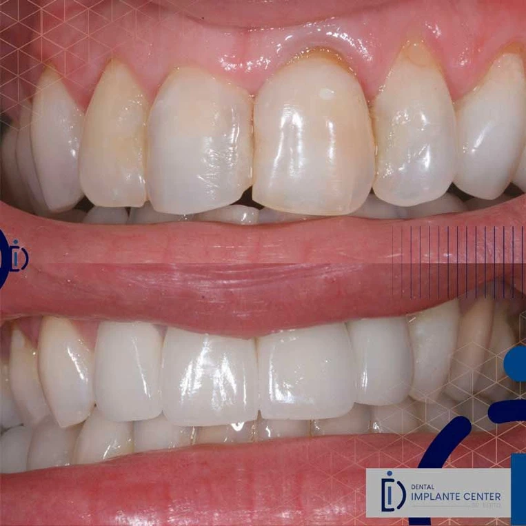
O protocolo dentário definitivo refere-se ao planejamento e execução do tratamento com a prótese final, que será a solução duradoura para o paciente. Após a fase inicial de implantes, cirurgias e possíveis tratamentos de tecidos, chega o momento de fazer a moldagem final, escolher a cor e o tipo de material da prótese, e realizar a instalação do sorriso definitivo. Esse procedimento garante uma estética natural, funcionalidade e durabilidade, proporcionando ao paciente uma melhora significativa na qualidade de vida. Se quiser saber mais detalhes sobre o processo ou etapas específicas, estou aqui para ajudar!













Especialista em Implantes Dentários




Implantes são suportes onde os dentes de porcelana ou resina são fixados para repor um ou mais dentes perdidos.
Normalmente são feitos de titânio, material totalmente biocompatível – os implantes têm 98% de chance de sucesso.
Implante de carga imediata pode ser usado em varias situações:
- Quando o paciente fratura ou quebra o dente, que não da mais para aproveitar, fazemos um implante imediatamente e coloca um dente provisório
- Quando paciente não tem dente mais tem osso suficiente para podermos colocar um ou mais dentes provisoriamente.
Implantes são suportes onde os dentes de porcelana ou resina são fixados para repor um ou mais dentes perdidos.
Normalmente são feitos de titânio, material totalmente biocompatível – os implantes têm 99% de chance de sucesso.
Implante de carga imediata pode ser usado em varias situações:.
Quando o paciente fratura a raiz ou quebra o dente, que não da mais para aproveitar, indicamos remoção e implante.
Solução para reabilitação de para quem perdeu todos os dentes da parte superior ou inferior. Composta por uma peça inteira e fixa que reestabelece a qualidade de vida dos pacientes
Carga imediata
Técnica moderna que restabelece a função de mastigação e estética em poucos dias. Indicada para pacientes que perderam um dente, dois dentes ou todos os dentes.

(51) 99678-4284































